micabg

111 Napisano članaka
spot_imgspot_img
Uncategorized

How to Clean Your Tongue – What is the Best Tongue Scraper?

Tržište je preplavljeno raznovrsnim proizvodima za oralnu higijenu, iako su četkica i pasta za zube osnovni, mnogi se posvećuju potrazi za dodatnim pomagalima kao...

Neodložan znak: Otok u predelu zuba i njegovi uzroci

Neodložan znak: Otok u zubu i šta ga uzrokuje?

Izbeljivanje zuba u stomatološkoj ordinaciji: Sve što ‌treba da znate

Svetliji osmeh može učiniti⁣ čuda⁣ -⁣ od povećanja samopouzdanja do ‍ostavljanja boljeg utiska⁤ na druge.⁣ U svetu gde je prvi‍ utisak često presudan, izbeljivanje...

Sveobuhvatni vodič za zubne implante

U svetu stomatologije, ⁤zubni implanti predstavljaju revoluciju koja menja način na koji pristupamo gubitku‍ zuba. Sa svakim⁢ novim‍ napretkom u ovoj oblasti, mogućnosti se⁣...
Zubi
micabg

Kako sprečiti da Vam se zubi pokvare

Razlog zašto peremo zube i čistimo ih zubnim koncem je uklanjanje zubnih naslaga – bezbojnog, lepljivog sloja bakterija koji se neprestano stvara na zubima....
micabg

Krunice za zube

Krunice predstavljaju stomatološke nadoknade koje se još označavaju kao i navlake i koje se postavljaju na prirodne zube. Krunice tj. navlake se izrađuju tako...
micabg

Fasete ili Viniri – Keramičke zubne fasete

Dentalni veniri ili fasete predstavljaju stomatološke nadoknade u vidu tankih navlaka napravljenih od materijala u boji zuba.Za razliku od klasičnih krunica, veniri ili fasete...
micabg
suvi alveolit, dry socket

Alveolit alveolitis suva alveola, dry socket

Poremecaj zarastanja koji je u literaturi poznat kao “dry socket”(“suva alveola”). Ucestalost ove komlikacije se krece od 1,2-2,0 %.Najcesce nastaje posle vadjenja gangrenoznih i pulpiticnih...
micabg

Četkica za zube

Za čistu usnu duplju najvažnija je dobra četkica za zube. Dobra četkica za zube nije skupa u poredjenju sa cenama stomatoloških intervencija . U...
micabg
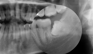
impaktirani umnjaci, operacija umnjaka

Hirusko vadjenje impaktiranih umnjaka

Vađenje impaktiranog umnjaka je hiruška procedura i bitno se razlikuje od vađenja izniklih zuba. Postoperativne komplikacije su moguće. Da bi se izbegle, potrebno je...