Kako zubne naslage izazivaju bolesti desni?
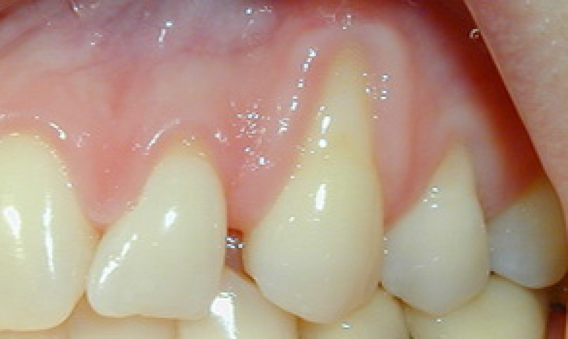
Ako na zubu ostanu naslage koje se talože, bakterije proizvode otrovne materije koje mogu nadražiti desni i oštetiti zube. Najraniji stadijum bolesti desni zove se gingivitis. To je upala desni, koja može izazvati otekline, osetljivost i krvarenje prilikom pranja ili čišćenja zuba koncem.
Ko je izložen bolestima desni?
Srećom, pravilnom svakodnevnom negom usne šupljine i redovnim posetama stomatologu možete sprečiti da se gingivitis ikad razvije. Najbolje se sprečava, au većini slučajeva i leči, rutinskim svakodnevnim uklanjanjem zubnih naslaga – to je dvostruki proces pranja zuba mekom četkicom i čišćenja područja između zuba. Oba postupka zajedno sprečavaju taloženje zubnih naslaga na površini zuba i ispod nivoa desni.
Šta učiniti ako sumnjam da imam gingivitis?
Pravilnom higijenom usne šupljine i redovnim posetama zubaru, možete sprečiti pojavljivanje upale desni. Najbolja prevencija, i u mnogim slučajevima najbrži lek, je redovno svakodnevno čišćenje zubnih naslaga u dva koraka – četkanjem zuba sa mekanom četkicom i čišćenjem mežuzubnog prostora. Ta dva koraka sprečavaju nakupljanje zubnih naslaga na površini zuba i uz desni.
Gingivitis nije trajno stanje. Može se izlečiti jer ne dolazi do trajnog oštećenja kosti koja drži zube.
Šta je paradontoza?
Ako se ne izleči, gingivitis se može razviti u teži oblik bolesti desni, nazvan parodontoze. Parodontoze oštećuje kost i zubno meso koje drži zube. Kad se parodontoze razvije, šteta se ne može ukloniti: samo profesionalan tretman lečenja i poboljšana dnevna nega usne duplje kod kuće mogu sprečiti da se stanje pogorša.
Imate li parodontoze, stomatolog će vam pružiti individualan program održavanja zuba i desni kako bi se zaustavio razvoj bolesti.
Na koje simptome treba obratiti pažnju?
Paradontoza se prvobitno može pojaviti bez mnogo vidljivih simptoma, stoga su redovne kontrole kod stomatologa ključne za ranu dijagnozu.
Najčešći simptomi parodontoze su crvene, natekle desni koje se počinju odvajati od zuba i tako stvaraju žlebova. To se često povezuje sa osetljivošću zuba, osećajem jakog pritiska između zuba ili krvarenjem prilikom pranja ili čišćenja zuba koncem.
U naprednijim stadijumima može doći do povlačenja desni, kvarenja korena zuba, pojave gnoja između zuba i desni te slabljenja ili konačnog gubitak zuba.
Kako sprečiti razvoj parodontoze?
Usvajanjem rutine za temeljitu brigu o usnoj šupljini možete olakšati izbegavanje parodontoze – evo nekih korisnih saveta:
- Temeljno perite zube dva puta na dan, mekom zubnom četkicom i zubnom pastom sa fluorom – po mogućnosti, ujutro i pre spavanja
- Svakodnevno čistite područje između zuba kako biste uklonili naslage sa područja koja ne možete dosegnuti četkicom
- Redovno posećujte svog stomatologa – barem jednom svakih šest meseci, radi čišćenja i kontrole
- Izbegavajte pušenje
- Stomatolozi preporučuju zamenu zubne četkice barem svaka tri meseca ili češće ako Četkica izgleda istrošeno, jer istraživanja pokazuju da nova četkica može ukloniti više zubnih naslaga od one starije od tri mjeseca






переобладнання буса з грузового в пасажир – отзывы Бусмастер, переоборудование грузовых автомобилей Украина